View Psp Brain Disease Pictures

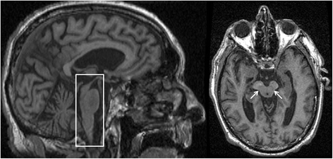
View Psp Brain Disease Pictures. Psp is one of the tauopathies which also includes corticobasal degeneration, picks disease, frontotemporal pathologically, gross examination of the brain in psp shows midbrain atrophy. Progressive supranuclear palsy (psp) is a rare brain disorder frequently confused with parkinson's disease.

1000+ images about psp on Pinterest | Patricia richardson ...
1000+ images about psp on Pinterest | Patricia richardson ... from s-media-cache-ak0.pinimg.com
This is to bring awareness to a rare disease. Someone with this type of psp can look like he/she has parkinson's disease. Learn about different brain diseases, as well as the causes, symptoms and treatment options, at u.s.

Psp is a neuropathologically defined disease entity.

Psp affects your ability to walk progressive supranuclear palsy is rare. Brain support network continually reviews most of the resources available on psp. It causes problems with walking, balance, eyesight, behavior, swallowing and emotions. Learn about different brain diseases, as well as the causes, symptoms and treatment options, at u.s.

Posting Komentar

Lebih baru Lebih lama